Il primo caso al mondo:
Trapianto di polmoni con donatori ancora vivi, marito e figlio salvano donna dopo il Covid
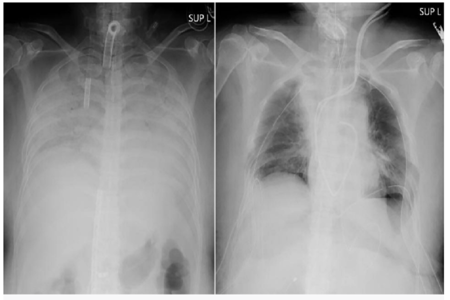
E’ il primo caso al mondo di un trapianto di polmoni dove i donatori sono ancora vivi. Si tratta di una donna giapponese che, dopo aver contratto il Covid-19, ha visto compromessi i suoi polmoni che non sono mai ritornati al normale funzionamento. La donna ha contratto l’infezione alla fine dello scorso anno quando è finita anche in ospedale in terapia intensiva. Lì è stata anche attaccata a una macchina di supporto vitale che funzionava come dei veri e propri polmoni artificiali. Il problema è stato che una volta guarita dal virus i problemi respiratori sono continuati a persistere e sono anche peggiorati. I suoi polmoni non erano né curabili né funzionali e l’unica opzione che la donna aveva per continuare a vivere era quella di ricevere un trapianto.
I polmoni necessari per la sopravvivenza della donna sono arrivati in tempo ma la parte, forse ancora più commuovente, della vicenda è che i due donatori sono il marito e il figlio della donna stessa. Entrambi hanno, infatti, donato una parte dei loro polmoni. Il marito ha donato un pezzo del suo polmone sinistro e il figlio invece ha dato una parte del suo polmone destro. L’operazione è durata 11 ore e anche i donatori sono sani e salvi e i dottori dell’ospedale dell’università di Kyoto hanno detto che la donna ritornerà alla sua vita normale in circa tre mesi.
In Giappone le liste di attesa per ricevere un organo sono molto lunghe per tutta una serie di problemi. Nei casi più rari alcuni pazienti vengono traferiti in America, Europa o Cina. Uno dei medici che ha contribuito all’intervento ha detto: “Abbiamo dimostrato che è possibile fare un trapianto di polmoni dove i donatori sono ancora vivi. Io credo che quest’operazione può dare tanta speranza a tutte le persone che stanno soffrendo dei sintomi post-Covid“.
© Riproduzione riservata








